http://dx.doi.org/10.35381/s.v.v6i1.1753
Remoción quirúrgica de un odontoma compuesto en el cuerpo de la mandíbula: Reporte de caso
Surgical removal of a composite odontoma in the body of the mandible: Case report
Universidad Regional Autónoma de los Andes, Ambato, Ambato
Ecuador
https://orcid.org/0000-0002-6636-7011
Karen Micaela Garcés-Rivera
Universidad Regional Autónoma de los Andes, Ambato, Ambato
Ecuador
https://orcid.org/0000-0002-0264-7495
Yamily González-Cardona
ua.yamilygonzales@uniandes.edu.ec
Universidad Regional Autónoma de los Andes, Ambato, Ambato
Ecuador
https://orcid.org/0000-0002-8008-6320
Recibido: 15 de noviembre 2021
Revisado: 10 de diciembre 2021
Aprobado: 15 de febrero 2022
Publicado: 01 de marzo 2022
RESUMEN
Objetivo: Demostrar que un diagnóstico temprano conjunto a un tratamiento oportuno puede evitar problemas en estructuras anatómicas vecinas y el daño en funciones principales del sistema estomatognático. Método: Caso clínico. Conclusiones: El paciente de sexo masculino que visitó la unidad de atención odontológica UNIANDES fue por una molestia estética y no por una molestia de tipo odontogénico por lo que nos hace cuestionar la necesidad de difusión de citas de controles odontológicos de rutina a la población para poder diagnosticar y tratar oportunamente estas neoplasias. El examen histopatológico tiene mucho peso en el diagnostico odontológico final evidenciando si es una neoplasia benigna o maligna. Los exámenes de rutina sanguínea son complementos necesarios para la ejecución de una correcta maniobra en el acto quirúrgico y no tener posibles complicaciones.
Descriptores: Salud bucal; diagnóstico bucal; rehabilitación bucal. (Fuente: DeCS).
ABSTRACT
Objective: To demonstrate that an early diagnosis together with a timely treatment can avoid problems in neighboring anatomical structures and damage in the main functions of the stomatognathic system. Method: Clinical case. Conclusions: The male patient who visited the UNIANDES dental care unit was for an esthetic problem and not for an odontogenic problem, which makes us question the need to make routine dental check-ups available to the population in order to diagnose and treat these neoplasms in a timely manner. The histopathological examination has much weight in the final odontological diagnosis evidencing if it is a benign or malignant neoplasm. Routine blood tests are necessary complements for the execution of a correct maneuver in the surgical act and to avoid possible complications.
Descriptors: Oral health; diagnosis oral; mouth rehabilitation. (Source: DeCS).
INTRODUCCIÓN:
Los odontomas son malformaciones de células odontogénicas epiteliales y mesenquimatosas diferenciadas que tienen la capacidad de formar esmalte, dentina y cemento. Su etiología hasta la actualidad es desconocida pero algunos autores refieren que son causados por infecciones o traumatismos en la dentición temporal 1 2 3 4, sin embargo, los odontomas son los Tumores benignos que se presentan más frecuentemente representado el 51% de todas las neoplasias de los maxilares 2. Por otra parte, se dice que los odontomas no tienen predilección por ningún sexo o raza, pero habitualmente se presenta en hombres. 9 10
Los odontomas pueden ser la causa de retenciones dentarias y aparecen usualmente en dentición permanente, aunque pueden aparecer a cualquier edad, además estos pueden causar dificultades en funciones principales del aparato estomatognático como hablar, deglutir o masticar y dolor cuando están comprometidos con otras estructuras anatómicas.1 11 12
Los Odontomas Compuestos generalmente están relacionados con dientes supernumerarios y se ubican en la parte anterior de la boca, en zona de incisivos y caninos sobre raíces de órganos dentales no erupcionados y en el medio de las raíces de dientes que ya han hecho erupción generalmente en la primera y segunda décadas de vida.6 13 14 15
Radiográficamente se presentan como masas radiopacas y radiolúcidas de borde radiolúcido definido y en su interior con múltiples zonas radiopacas. 7 Su tratamiento se basa principalmente en la Enucleación y cirugía quirúrgica conservadora teniendo cuidado de no causar daño en estructuras anatómicas y dientes adyacentes, se recomienda enviar una muestra a un laboratorio patológico para la confirmación del Diagnóstico.8 Por lo general es inusual que se presenten casos de recidiva.
El presente estudio tiene como objetivo demostrar que un diagnóstico temprano conjunto a un tratamiento oportuno puede evitar problemas en estructuras anatómicas vecinas y el daño en funciones principales del sistema estomatognático.
CASO CLINICO
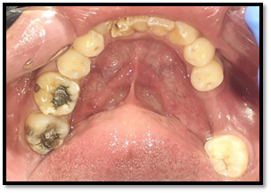
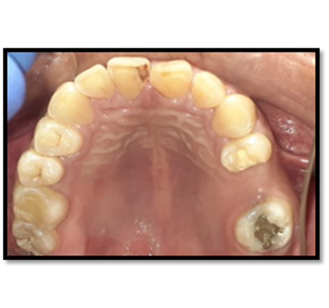
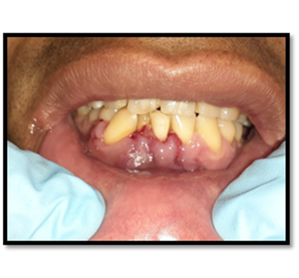
Paciente de sexo masculino de 32 años de edad, Asintomático, en la exploración clínica intraoral se observa ausencia del órgano dentario Nº 4, 2. No hay la presencia de cambios de coloración en la mucosa del sector anterior del cuerpo de la mandíbula, a la palpación no refiere dolor.


Imagen 1. Fotografías intraorales
El estudio radiográfico puede evidenciar múltiples sombras radiopacas rodeadas de un halo radiolúcido pertenecientes a un tumor odontogénico CIE10: D164 (odontoma compuesto), localizados en a nivel de los órganos dentarios 4.3; 4.1; 3.1; 3.2; 3.3. También se puede constatar la presencia de una sombra radiopaca que concuerdan con el órgano dentario retenido.

Imagen 2. Radiografica Panorámica.
El órgano dentario retenido tiene una dirección mesioangular, sobrepasando la corona la mitad de la línea media. En íntima relación se encuentra las raíces de los órganos dentarios 4.1; 3.1; 3.2 con los dentículos y adicionándose con la relación del órgano dentario retenido esta la raíz del órgano dentario.

Imagen 3. Radiograficas Peiapical.

Imagen 4. Oclusal Inferior.
Los resultados de los exámenes radiográficos evidencian que se trata un odontoma compuesto que se confirmara con el estudio histopatológico posquirúrgico.
Anestesia: Se colocó la anestesia bucal localizada: 3 cartuchos 1.8 ml de lidocaína al 2% con epinefrina 1:80000 ppm. Se realizó técnica troncular: Nervio dentario inferior, nervio bucal, nervio lingual y al nervio mentoniano.


Imagen 5. Anestesia troncular al mandíbular y al mentoniano.
Incisión: Neumann Parcial con bisturí, hoja de bisturí # 15 con un mango de bisturí #3, con la descarga o liberatríz hacia el órgano dentario #3.2 hasta distal del órgano dentario # 4.4.
Levantamiento del colgajo: Se realizó el levantamiento de las papilas y el colgajo mucoperióstico.

Imagen 6. Incisión.

Imagen 7. Levantamiento del colgajo.
Cirugía propiamente dicha:
Se realizó la osteotomía para el retiro de los dentículos que está formando al odontoma, llegando a la extirpación de 13 dentículos.

Imagen 8. Odontosección.

Imagen 9. Remoción de Odontomas.

Imagen 10. Total de dentículos extraídos .
Se colocó FIBRINA RICA EN PLAQUETAS en la cavidad.

Imagen 11. Colocación de fibrina rica en plaquetas.
Sutura
Vicril 0000, se suturó primero las papilas interdentales, luego la liberatríz. Siendo un numero de 4 puntos simple de sutura.

Imagen 12. Sutura.

Imagen 13. Control posoperatorio.
Fue trasladado al área de
recuperación, para vigilar los signos vitales del paciente.
Imagen 14. Control posoperatorio.
RESULTADOS
Exámenes de laboratorio
Biometría Hemática:
Hemoglobina: 17.9 g/L
Hematocrito: 53.9 %
Leucocitos: 7.21 *10^3 /ul
Linfocitos: 3.10 *10^3 /ul
Plaquetas: 289 *10^3 /ul
Química Sanguínea:
Glucosa: 93.5 mg/dL
Urea: 24.6 mg/dL
Creatinina: 0.75mg/dL
Ácido úrico: 3.8 mg/dL
HDL: 57.3 mg/dL
LDL: 112.0 mg/dL
Coagulación:
TP: 12.8 “
TTP: 32”
Tensión Arterial: 120/80 mmHg
Frecuencia cardiaca: 60ppm
Frecuencia respiratoria: 15 resp/min
Temperatura axilar: 36,5º
FIBRINA RICA EN PLAQUETAS:
Posee propiedades moduladoras y estimuladoras que influyen en la proliferación de células qu8e son derivadas de células madre de origen mesenquimal.
EXAMEN DE LABORATORIO HISTOPATOLOGICO
Diagnóstico: Masa maxilar compatible con un Tumor Odontogénico (Odontoma Compuesto) CIE10:D164.
TRATAMIENTO FARMACOLOGICO POST QUIRURGICO
Amoxicilina de 1 gr en capsula #1 (una)
Ketorolaco de 20mg comprimido #1 (uno)
Indicación de la prescripción:
Amoxicilina: 500mg capsulas #21 (veinte y uno)
Flurbiprofeno: 150mg comprimidos #6 (seis)
Indicaciones:
Amoxicilina: 500mg capsulas, una cada 8 horas por 7 días.
Flurbiprofeno: 150mg comprimidos, una cada 12 horas por 3 días.
ANÁLISIS DE LOS RESULTADOS
El diagnóstico y tratamiento oportuno que se debe tener frente a las neoplasias odontogénicas que son frecuentes en la consulta odontológica, y la mayoría de casos pasa desapercibido nos hacen tomar conciencia de lo importante de tratar , guiar a los pacientes que visitan la unidad de atención odontológica Uniandes a realizarse exámenes complementarios, radiográficos panorámicos, periapicales, oclusales que tienen la posibilidad de demostrar una visión más clara de las estructuras dentarias vecinas, previniendo desarrollos o formaciones de neoplasias ya que, las radiografías las intraorales periapicales, oclusales demuestra mayor fidelidad dimensional en comparación a la panorámica detectando oportunamente patologías que son asintomáticas.
En su gran mayoría en la presentación de este caso clínico se puede observar la presencia de una sombra radiopaca que concuerdan con el órgano dentario retenido 4.2.con una imagen mixta con múltiples radiopacidades muy similares a los órganos dentarios que están rodeados de un halo radiolúcido perimetral que son similares descripciones de investigaciones de otros autores.
CONCLUSIONES
El paciente de sexo masculino que visitó la unidad de atención odontológica uniandes fue por una molestia estética y no por una molestia de tipo odontogénico por lo que nos hace cuestionar la necesidad de difusión de citas de controles odontológicos de rutina a la población para poder diagnosticar y tratar oportunamente estas neoplasias.
Con la presentación de este caso clínico demuestra la importancia de estudios complementarios histopatológicos para tener un diagnóstico con certeza para la resolución del caso y el seguimiento.
El uso de fribrina rica en plaquetas utilizada en este caso clínico es una segunda regeneración oportuna para el paciente ya que según estudios han demostrado que es una gran ayuda en este tipo de cirugías bucales.
Los exámenes radiográficos son de gran valor en el diagnóstico oportuno de neoplasias odontógenas principalmente las de mayor fidelidad como las radiografías periapicales y oclusales.
El examen histopatológico tiene mucho peso en el diagnostico odontológico final evidenciando si es una neoplasia benigna o maligna.
Los exámenes de rutina sanguínea son complementos necesarios para la ejecución de una correcta maniobra en el acto quirúrgico y no tener posibles complicaciones.
La organización de los tiempos quirúrgicos es indispensable antes durante y después del tratamiento quirúrgico ya que este representara una mayor recuperación en el estado del paciente.
CONFLICTO DE INTERÉS
Los autores declaran que no tienen conflicto de interés en la publicación del artículo.
FINANCIAMIENTO
No monetario.
AGRADECIMIENTO
A la Universidad Regional Autónoma de los Andes; por apoyar el desarrollo de la investigación.
REFERENCIAS
1. Quintana Díaz JC, Castillo Coto A, Fernández Fregio MJ. Odontoma compuesto como causa de retención dentaria. Presentación de un caso [Composite odontoma as a cause of dental retention. Presentation of a case]. Rev Cubana Estomatol. 2006; 43(2).
2. Amado S. Gallardo J. Berini L, Gay C. Revisión de 61 casos de odontomas. Presentación de un odontoma complejo erupcionado [Review of 61 cases of odontomas. Presentation of a complex erupted odontoma]. Med Oral. 2003, 8: 366-373.
3. Medina Santos SJ, Díaz Méndez HT, Ávila Chiong G. Tres casos de odontomas [Three cases of odontomas]. Rev Electro Dr. Zoilo E. Marinello Vidaurreta. 2015; 40(4)
4. Spichler ER, Lessa I, Costa e Forti A. Análisis Restropectivo de características, tratamiento y seguimiento de 26 Odontomas en niños griegos [Restropective analysis of characteristics, treatment and follow-up of 26 odontomas in Greek children.]. Reb Panam Salud Pública. 2001; 10 (5):334-40
5. Santana Garay JC. Atlas de patología del complejo bucal [Atlas of pathology of the oral complex]. 2ed. La Habana: Editorial Ciencias Médicas; 2010.
6. Sapp JP, Eversole LR. Patología oral y maxilofacial contemporánea [Contemporary Oral and Maxillofacial Pathology]. Harcurt Madrid, España; 2004: pp. 147-149.
7. Faus LVJ, Camps AI, Pascual MA, Paricio MJ. Diagnóstico del odontoma compuesto. A propósito de dos casos clínicos [Diagnosis of composite odontoma. A review of two clinical cases]. Rev Eur Odontoestomatol. 1990; 5: 325-328.
8. Lucas Aparicio J, Sánchez Sánchez R, Fernández Domínguez M, Puigdemasa Panadés E, Ruíz Jiménez A, Naval Parra B. Odontomas complejos [Complex odontomas]. Cient Dent. 2011; 8(3).
9. Ćabov T, Fuchs PN, Zulijani A, Ćabov Ercegović L, Marelić S. ODONTOMAS: PEDIATRIC CASE REPORT AND REVIEW OF THE LITERATURE. Acta Clin Croat. 2021;60(1):146-152. doi:10.20471/acc.2021.60.01.22
10. LaDouceur EEB, Hauck AM, Garner MM, Cartoceti AN, Murphy BG. Odontomas in Frogs. Vet Pathol. 2020;57(1):147-150. doi:10.1177/030098581987763
11. Gervasoni C, Tronchet A, Spotti S, et al. Odontomas: review of the literature and case reports. J Biol Regul Homeost Agents. 2017;31(2 Suppl 1):119-125.
12. Bilodeau EA, Collins BM. Odontogenic Cysts and Neoplasms. Surg Pathol Clin. 2017;10(1):177-222. doi:10.1016/j.path.2016.10.006
13. Pippi R. Odontomas and supernumerary teeth: is there a common origin?. Int J Med Sci. 2014;11(12):1282-1297. Published 2014 Nov 12. doi:10.7150/ijms.10501
14. da Silva VA, Pedreira RP, Sperandio FF, Nogueira DA, de Carli ML, Hanemann JA. Odontomas are associated with impacted permanent teeth in orthodontic patients. J Clin Exp Dent. 2019;11(9):e790-e794. Published 2019 Sep 1. doi:10.4317/jced.56101
15. Retraction. Odontomas--silent tormentors of teeth eruption, shedding and occlusion [retraction of: Kulkarni VK, Deshmukh J, Banda NR, Banda VR. BMJ Case Rep. 2012;2012. pii: bcr2012007666. doi: 10.1136/bcr-2012-007666]. BMJ Case Rep. 2013;2013:bcr2012007666rp. Published 2013 Aug 29. doi:10.1136/bcr-2012-007666rp
2022 por los autores. Este artículo es de acceso abierto y distribuido según los términos y condiciones de la licencia Creative Commons Atribución-NoComercial-CompartirIgual 4.0 Internacional (CC BY-NC-SA 4.0) (https://creativecommons.org/licenses/by-nc-sa/4.0/).